menu
診療内容MEDICAL
症例集case
BLOG
こんにちは。
岐阜県可児市、しばた歯科可児おとなこども矯正歯科の歯科アシスタントチームです。
治療後かぶせ物を決める際に、自費診療と保険診療のどちらのかぶせ物にしようか悩む方を多く見受けられます。
実は、保険診療のかぶせ物は、使用できる材料や製作工程に限りがあります。自費のかぶせ物では、さまざまな種類の材料を使用することが可能であり、審美性(見た目)にこだわったり、保険診療のかぶせ物に比べると性能的にも優れています。
まず、保険診療のかぶせ物で一般的な「銀歯」は、銀を主成分とした金銀パラジウム合金で作られています。

保険診療の銀歯は安価で強度が高いというメリットの反面、デメリットの
リスクも高くなります。
デメリット
金属アレルギー
年月を経ると酸化して溶けていきます。唾液に溶けてイオン化した金属が、体内に取り込まれると金属アレルギーの症状が起きる可能性があります。
ブラックライン
銀歯や金属製のフレームの差し歯を入れた場合、溶け出した金属イオンが歯茎に沈着してしまい、歯と歯茎の境目に黒っぽい線が現れるブラックラインが見られる場合もあります。
二次カリエス
虫歯治療を行った歯で二次的に起こる虫歯のことです。金属の詰め物やかぶせ物にした場合、二次カリエスは起こりやすいです。徐々に歯と銀歯の間に隙間ができて、虫歯が出来やすくなります。

自費診療のかぶせ物はより人体への親和性や利便性、審美的にも
優れたかぶせ物を選んでいただけます。
ジルコニアセラミック
人工ダイアモンドを使用しており、天然ダイアモンドの次に硬い物質になります。
ジルコニアは強い力が加わっても、力を分散する性質を持ち、破損することもなく、
歯科補綴物の材料として非常に優れています。
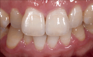
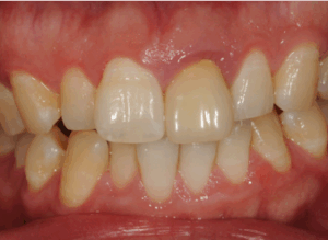
![]() | ![]() | |
| (治療前) | (治療後) |
メリット
体に安心・安全
ジルコニアは体に影響のない安心な物質です。インプラント治療や人工関節などに使用され、各分野でもジルコニアは重要な物質として注目されています。
また、金属を一切使用していないので、アレルギーの心配もありません。
利便性
ジルコニアセラミックは人工ダイアモンドで出来ているので、耐久性に優れているのでしっかりと咬めます。
銀歯などのかぶせ物は硬く、噛み合わせる天然歯に意外にも負担がかかっています。
ジルコニアセラミックは金属より軽く、その重量は金属の3分の1と言われています。
ですので、天然歯にも負担が軽くご自分の歯を守っていただけます。
ジルコニアセラミックは通年劣化が起こりにくく、ほとんど変色が見られません。
そのため、銀歯に比べて二次カリエスになりにくく、長く使い続けることができます。
表面に汚れが付きにくい
銀歯は表面に傷がつきやすく、汚れが付きやすいです。セラミックは硬くて傷が付きにくく、食べ残しや、汚れも付着しにくく、清潔に保つことができます。
審美的な美しさ
透明感があり天然歯の歯に近い白く美しいかぶせ物です。変色もしにくく、食べ物による
着色もなく、前歯に入れても自然で審美性を保つことができます。
かぶせ物の精度が高い
歯の模型をスキャナーで読み取ったデータをもとに、CADCAMで設計・製作したかぶせ物は
正確性が高く、歯にぴったり合うため、虫歯にもなりにくいです。
デメリット
保険適応にならない
詰め物でも1本50,000円(税別)かぶせ物1本70,000〜円(税別)
高品質な材料・施術方法・精度の高い製作工程になるのでお値段が高くなってしまいます。
硬度は高いが、脆性破壊しやすい
食いしばりや歯ぎしりの強い方だと過負荷がかかり割れてしまう場合もあります。
歯ぎしり防止の為に就寝時にマウスピースを装着する対策をとると安心です。
セラミックの種類
ジルコニアセラミック
人工ダイアモンド使用、生体親和性に優れている。強度が非常に高い。
天然歯のような美しさ、自然な色合いを再現できる。
e-max(ガラスセラミック)
高強度で磨耗性が高く、噛み合わせる天然歯を痛めることがない。
変色もせず、天然歯のような美しさ。
メタルボンド
金属のフレームにセラミックが焼き付けてある。
耐久性に優れているが、透明感がなく、劣化すると金属が露出する。
保険のかぶせ物に比べて、変色せず磨り減らない。
保険診療のかぶせ物より費用はかかりますが、メリット・デメリットをしっかりと理解し
選択することが重要です。
自費診療のかぶせ物をお考えの際は、なんなりとお問い合わせください(^O^)
可児市、美濃加茂市、多治見市周辺の歯にお悩みのある方はぜひしばた歯科可児おとなこども矯正歯科までご相談ください。
執筆・監修者
院長:医療法人AKATSUKI 理事長:柴田 暁晴
所属学会海外で研鑽をつんだドクターが対応
当院は国際的にインプラント・オールオン4治療で有名なDr.アレックスの元、Dr柴田、Dr近藤ともに世界レベルの歯科医療を学び、地元岐阜可児にてその技術を提供しています。
骨が少なくてインプラント治療を断られたり、入れ歯やブリッジを勧められるケースでも、ほぼ全てのケースでインプラント治療が可能です。
「難症例」であっても対応できる設備とチーム
しばた歯科可児おとなこども矯正では、一般的な矯正治療では対応が難しいとされる“難症例”にも、専門的な診断と高度な設備を活用して対応しています。
歯や顎の状態を精密に把握するために、3D画像診断が可能なCTや口腔内スキャナーを導入。治療前のシミュレーションを行うことで、より安全で的確な治療計画を立てることができます。
また、矯正・インプラント・口腔外科・補綴など、各分野に精通したドクターがチームを組み、複雑な症例にも連携して対応。お子さまから成人まで、他院で「難しい」と言われた症例でも、しばた歯科では最適な治療方法を提案いたします。

© 2025 shibatadental.com