">
menu
BLOG
こんにちは。岐阜県可児市のしばた歯科可児おとなこども矯正歯科の院長柴田です。
歯が抜けた後、すぐに治療を行わないことで、口腔内だけでなく全身の健康にも影響を及ぼす可能性があることをご存じでしょうか?
特に中高年・高齢の方では「見た目」「健康寿命」「食事の満足度」に大きく関わります。
この記事では、歯の欠損を放置するリスクと、後悔しない治療選びのポイントを、多くの患者さんを携わってきた知見・実際の患者さんの声とともに解説します。

1、歯が抜けたままにする5つのリスク
① 顎の骨が痩せていく(骨吸収)
歯がなくなると歯根の刺激がなくなり、骨が痩せる「骨吸収」が進行。放置するとインプラント治療ができなくなることも。

これは当院での実例です。上写真はとある患者さんの初診時CT画像です。インプラントを希望されており他院では骨がないと(矢印部)断られてしまい、当院でも治療が難しいのかセカンドオピニオンで相談に来た患者さん。
パッと見て分かる通り、反対の骨の幅を比べると極端に骨の量が少ないことが分かります。
協同ドクターとも意見を重ねた結果、GBR法(骨を増やす治療)を行い3〜6ヶ月骨待ちをした上で、径の一番小さいインプラントなら治療可能というという診断になりました。
結果、下写真(インプラント治療終了後CT画像)のように無事にインプラントを埋入ことができました。

予後も良好で問題なく使えています。
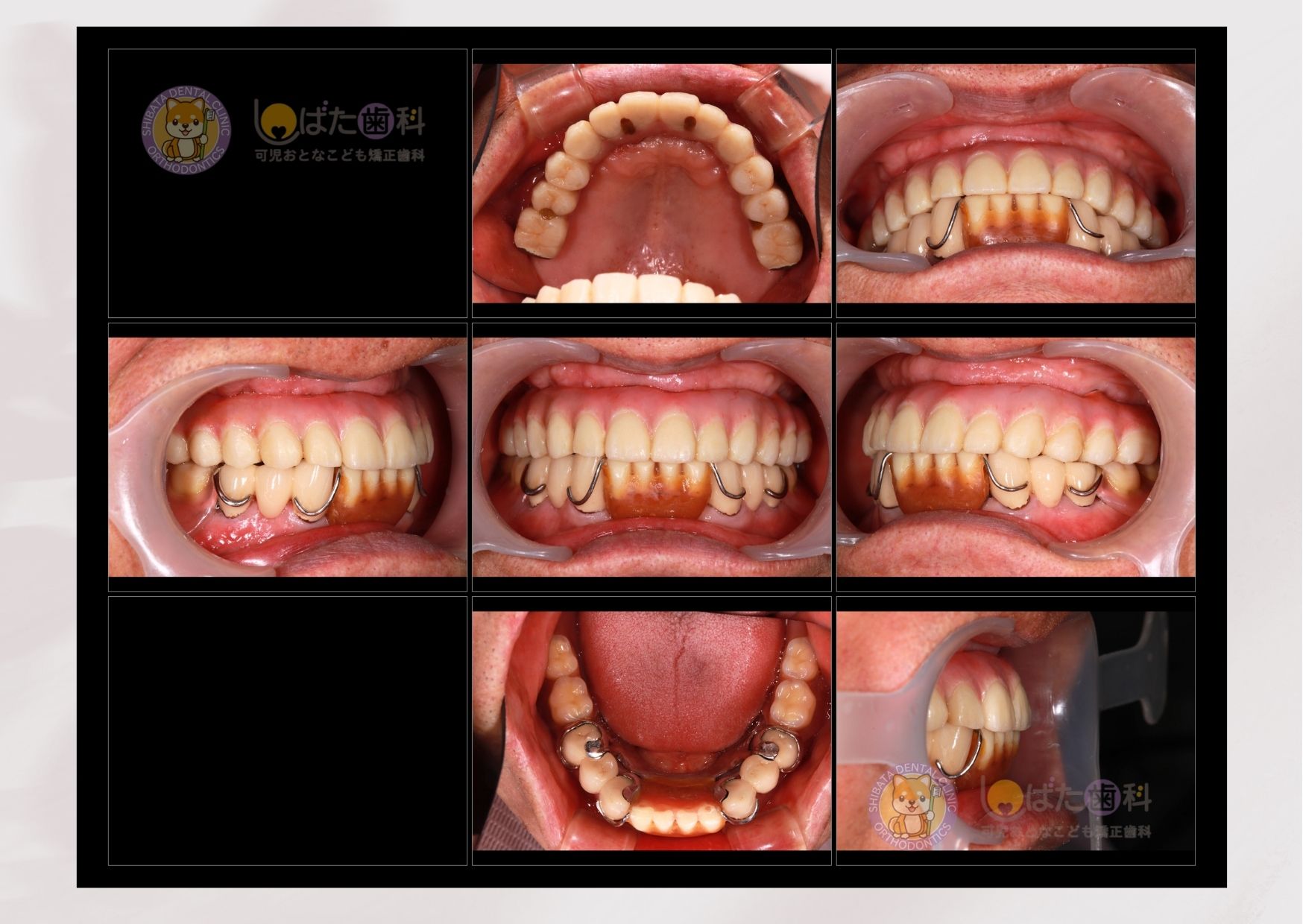
② 周囲の歯のズレと咬み合わせの崩壊
両隣の歯が傾き、咬み合わせがずれていきます。将来的に複数本を同時に治療する必要性が出てきます。
咬み合わせがずれると、顎関節症になるリスクが高まるとともに酷いと肩こりや頭痛を引き起こす原因となります。
当院でも、噛み合わせがずれていた患者さんが歯並びを整え正しい噛み合わせにしたことにより頭痛が改善したケースを多く診てきました。
下記は、その一例です。50代女性の患者さんです。

長年原因不明の頭痛に悩まされ、医科に受診ても改善が見られないということでした。きっかけは10年前に入れた銀歯が外れてしまったところからでした。そのまま付け直してもよかったのですが、全顎的な診断をお伝えしたところこの際に全て整えたいということで矯正、インプラントの組み合わせで治療を行いました。
矯正治療の中盤で患者さんからこんな一言が。
「あの、最近、頭痛がなくって。そういえば薬も飲んでないかも」と。
歯並びが改善され、正しい噛み合わせなったことで慢性的に悩んでいたことが改善されたとのことでした。

③ 食事の楽しみが減る
咀嚼力が落ちることで、栄養不足や消化不良、食べたいものが食べられないストレスにつながります。
実際に、オールオン4を選択された60代男性の方は地域の集まりでよく飲み会に参加していました。そこで、食べるものは毎回茶碗蒸しややっこ、おかゆ、茹で枝豆などなるべく歯に優しいものばかりを食べていたそうです。顔馴染みだからこそ、「〇〇は柔らかいもんしか食えんのやったな。」と気を遣わせてしまって申し訳ない。とお口の状態がボロボロでかなり困ったエピソードも耳にします。

④ 発音や見た目に影響する
前歯部の欠損は見た目や話す時の空気の漏れにより発音に大きく影響し、人前で話すことに消極的になる方も増えます。よく聞くのが、電話時の言葉が聞き取れないので何度も伝え直しをしている。と言う経験談を聞きます。
奥歯の欠損は、何より「噛む」ことに影響が大きく現れます。
⑤ 口腔衛生が悪化しやすくなる
歯のない部分に汚れがたまりやすく、歯周病・口臭の原因に。自浄作用が働かない状態かつ歯ブラシも届きにくい場所は特にリスクが高いです。

2、全身に広がるリスクとは?
よく噛むことが脳の活性化に繋がるという報告もあります。(引用:2021年 日本補綴歯科学会)。
歯が抜けて「噛めない状態」が続くと、認知症のリスクが高まることが明らかになってきました。
2024年のアメリカの研究によると、咀嚼回数が1食あたり10回未満の高齢者は、認知症の発症リスクが約2.9倍に上昇するというデータが報告されています¹。
また、国内の調査でも、噛む力が弱く、定期的な歯科検診を受けていない高齢者は、認知症リスクが1.45倍高くなるという傾向が示されています²。
これは、しっかり噛むことによって脳に刺激が伝わり、記憶力や集中力の維持に良い影響を与えるためと考えられています。
特に「奥歯を失ってそのまま放置している」「食事中に噛む回数が減っている」といった方は注意が必要です。
歯の治療は見た目や食事のためだけでなく、脳の健康を守るうえでも重要な投資といえます。

このグラフは、日本の大規模保険請求データに基づいた研究(931,309名、追跡期間平均35.6か月)において、「後方咬合支持が少ない群(Eichner分類B・C)」の方が、正常な咬合支持群(Eichner分類A)と比べて 認知症発症リスク(ハザード比:HR) が明らかに高いことを示した棒グラフです。 Nature+1
棒グラフでは、3つのグループ(Eichner A/B/C)それぞれのHR(例:A=1.0基準、B=1.73、C=2.10)を比較しています。 PubMed+1
このグラフによって、「奥歯(後方部)の接触・支持が失われると、認知症リスクが1.7~2倍以上になる」というメッセージが伝わります。
論文名:Longitudinal association between posterior occlusal contact and dementia development in a large retrospective cohort study using a Japanese claims database
歯周病による慢性炎症が、全身疾患の悪化要因に。放置は命に関わる病気のリスクも高めます。
◉糖尿病患者にインプラント治療を行った成功事例(HbA1cコントロール後に手術)
当院での事例
70代男性 オペ前 HbA1c9.0でしたが、オールオン4治療を行うことになってからはHbA1c6.0 をキープ。オペ後も血糖コントロールがしっかりできているため、オールオン4治療から2年が経過しましたがトラブルなく使えています。


3、高齢者が注意すべき理由
4、失った歯への4つの治療オプション
歯を失った場合の主な治療法には、以下の4つがあります。
それぞれにメリット・デメリット・費用感がありますので、ご自身に合った治療を選ぶ参考にしてください。

歯が抜けてしまったら、4つの方法が挙げられます。抜けてしまった歯の本数によっても適応になる治療は異なります。見た目や噛み心地は良くても、健康な歯を削ることに抵抗がある方もいます。同様に、費用面で迷われる方もいらっしゃいます。しかし、昨今は支払い方法も多様化し、デンタルローンを併用したり、医療費控除制度を使って賢く治療を受けられる方も多くなりました。
実際当院でも、金銭面的に壁があったがローンと医療費控除の組み合わせができることを知り前向きに治療を検討し今では、「あの時、決断してよかった」と喜ばれる方もいます。
デンタルローンや医療費控除についてもしっかり説明できる環境です。
治療方法で迷われる方は、長期的な視点でどちらが負担が少ないかを一緒に検討しましょう。

5、放置せず、すぐに相談を!
まとめ
歯を失った後の「まだ大丈夫」が、将来の大きな後悔につながるかもしれません。
当院では、患者さん一人ひとりに合った治療法を、実績豊富な歯科医師と技工士/衛生士
チームでご提案しています。
「見た目も、食事も、人生も、取り戻す」ために、まずはお気軽にご相談ください。
📍 まずは無料相談へ
気になることはすべて、無料相談でお話しください。
岐阜県でインプラント・オールオン4をお考えの方へ
当院では、可児市・美濃加茂市・加茂郡・御嵩町をはじめ、
多治見・中津川・恵那・郡上などの東濃・美濃地域、
さらに愛知・三重・滋賀・北陸地方からも多数ご来院いただいております。
随時、無料相談受付中です。
電話予約▶︎0574-62-5698
お話しだけでも聞いてみたい!24時間受付可能web予約▶︎web予約はこちら▶️︎
遠くて行けない。概要だけでも聞いてみたい。Line相談▶︎ラインはこちら▶️︎
◎ただいまオールオン4モニターキャンペーン実施中です!残り1名枠です(3名中)
📚参考資料(SEO補強)
この記事の監修

医療法人AKATSUKI しばた歯科可児おとなこども矯正歯科
日本口腔外科学会認定医 院長 柴田暁晴

© 2025 shibatadental.com