">
menu
診療内容MEDICAL
症例集case
BLOG
こんにちは。岐阜県可児市にあります、しばた歯科可児おとなこども矯正歯科の院長柴田です。
「オールオンフォーに興味はあるけど、もし失敗したらどうしよう…」
「後悔した人もいると聞いたから不安」
インプラントの中でもオールオンフォーは「最後の砦」と言われることもある大きな治療です。そのため、患者さんが最も気にするのは「後悔したくない」という思いでしょう。実際にネットで検索すると「オールオンフォー 後悔」「オールオンフォー 失敗」といったキーワードが多く調べられています。
この記事では、オールオンフォーで患者さんがよく感じる後悔ポイントと、その回避法を解説します。さらに、最新の研究データを交えて正しい知識を整理し、安心して治療を選べるようサポートします。
1、オールオンフォーでよくある後悔
① 費用が思ったより高かった
広告に「100万円〜」と書かれていたが、実際は検査・麻酔・仮歯・保証などが追加され「想像以上に高額になった」という声は少なくありません。
これは、車を買うとき、本体価格だけを見て契約したら保険や維持費で総額が倍近くかかった…そんな感覚に似ています。

② 手術や術後の大変さ
「手術が想像より大掛かりだった」「腫れや痛みが予想以上だった」というケースもあります。
例えるなら、フルマラソンに挑戦するのに準備不足で臨んでしまったようなもの。手術は計画性と術後ケアが重要です。

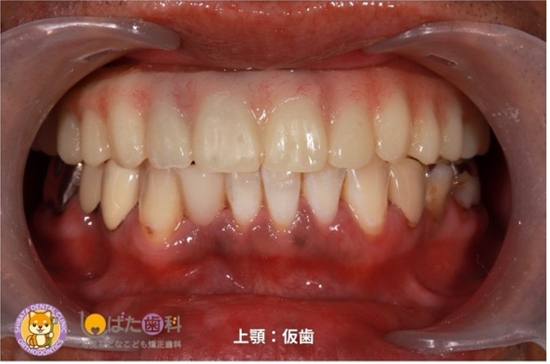
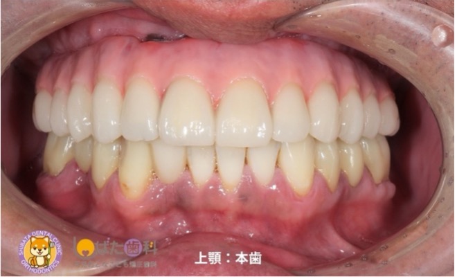
③ 見た目や噛み心地に不満
「仮歯の調整を十分にしなかったため、最終の歯が思っていた形や色と違った」という不満も後悔の大きな要因です。
これは、オーダースーツを採寸せず買ってしまい、体に合わない仕上がりになるようなものです。
だからこそ、仮歯の段階で徹底的に調整することが重要になってきます。



これは、実際に海外のセミナーを受講し講師の先生方や日本から一緒に参加した先生方と共有できたからこそ得られた知見です。

④ メンテナンスを怠った結果のトラブル
オールオン4は「入れっぱなしで一生安心」という治療ではありません。定期的なメンテナンスを怠ると、インプラント周囲炎のリスクが高まります。
よくある話で、どんな車を購入してもオイル交換を怠ればエンジンは壊れてしまうのと同じですよね。

2,後悔を回避するための正しい対策
実際、当院でも事前にご説明をしっかりした上で患者さんがご納得いただいてから次の処置に進める様配慮しております。お話専門のTCより費用から治療の流れ、治療後のアフターケアまで最初の無料相談時にてお伝えいたします。また、当院の特徴として無料相談時にレントゲンをお撮りしその患者さんに合わせたお見積もりを最初の段階でお渡しします。
手術面に関しては、医科歯科連携で医科との情報共有を行うことで安全な状態で臨むことができます。
また、見た目に関しては歯科技工士との綿密なやり取りが重要になります。当院には院内ラボ併設で専属の歯科技工士が常駐し早急な対応も可能です。仮歯が、割れた、欠けるなんてことも少なくはありません。そんな時でも、スペアの仮歯をお作りし常に歯がある状態で本歯装着まで過ごしていただけます。また、装着する本歯のお色味や噛み合わせ、歯の形なども直接ご相談いただける環境なのも当院の特徴です。
そして、アフターケアの充実です。歯科衛生士もオールオン4やインプラントに対する専門的な知識、スキルが必要となってきます。日頃から、歯科医師直々に手解きし、研修にも参加。チーム一丸となって後悔させない治療を心がけております。

極め付けは、保証制度です。多くの歯科医院さんは5年や10年保証が多い中、当院は生涯保証とさせていただいておりますので安心してオールオン4をご使用いただけます。
3、研究から学ぶ「後悔しないためのポイント」
これらの論文からも、「正しく理解し準備すれば後悔は避けられる」ことが分かります。
4、当院だからできる後悔しない治療
「いろんな歯医者さんでお話を聞いてきたけど、やっぱりしばた歯科さんでやりたいです」とのお声もいただいております。

まとめ
オールオン4は、正しい知識と準備があれば「後悔する治療」ではなく「人生を変える治療」になり得ます。
失敗例や後悔の声から学び、しっかり確認・対策を行うことで安心して選べます。
もし少しでも「後悔したくない」と不安を抱えている方は、ぜひ当院の無料相談で不安をクリアにしていただければと思います。
📍 まずは無料相談へ
気になることはすべて、無料相談でお話しください。
岐阜県でインプラント・オールオン4をお考えの方へ
当院では、可児市・美濃加茂市・加茂郡・御嵩町をはじめ、
多治見・中津川・恵那・郡上などの東濃・美濃地域、
さらに愛知・三重・滋賀・北陸地方からも多数ご来院いただいております。
随時、無料相談受付中です!
電話予約▶︎0574-62-5698
お話しだけでも聞いてみたい!24時間受付可能web予約▶︎web予約はこちら▶️︎
遠くて行けない。概要だけでも聞いてみたい。Line相談▶︎ラインはこちら▶️︎
[参考文献]
出典
執筆・監修者
院長:医療法人AKATSUKI 理事長:柴田 暁晴
所属学会海外で研鑽をつんだドクターが対応
当院は国際的にインプラント・オールオン4治療で有名なDr.アレックスの元、Dr柴田、Dr近藤ともに世界レベルの歯科医療を学び、地元岐阜可児にてその技術を提供しています。
骨が少なくてインプラント治療を断られたり、入れ歯やブリッジを勧められるケースでも、ほぼ全てのケースでインプラント治療が可能です。
「難症例」であっても対応できる設備とチーム
しばた歯科可児おとなこども矯正では、一般的な矯正治療では対応が難しいとされる“難症例”にも、専門的な診断と高度な設備を活用して対応しています。
歯や顎の状態を精密に把握するために、3D画像診断が可能なCTや口腔内スキャナーを導入。治療前のシミュレーションを行うことで、より安全で的確な治療計画を立てることができます。
また、矯正・インプラント・口腔外科・補綴など、各分野に精通したドクターがチームを組み、複雑な症例にも連携して対応。お子さまから成人まで、他院で「難しい」と言われた症例でも、しばた歯科では最適な治療方法を提案いたします。

© 2025 shibatadental.com