menu
whitening
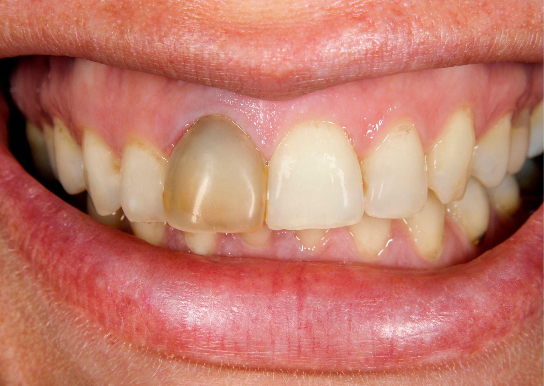
幼少期にテトラサイクリン系抗生物質を摂取したことにより、歯の色が変わる状態を指します。成長期に摂取すると、歯のエナメル質に色素が沈着し、濃い変色が生じます。一度変色してしまうと通常は永久的なものです。ただし、ホワイトニングやその他の歯科治療によって、ある程度改善できる場合もあります。そのため、悩んでいる方は歯科医師と相談し、適切な治療方法を見つけることが大切です。
毎日しっかり歯みがきをしているのに、「なんとなく歯が黄ばんできた…」と感じたことはありませんか?
実は、歯の黄ばみはコーヒーや紅茶、赤ワインなどの飲み物、カレーやケチャップなどの色の濃い食べ物によって、少しずつ蓄積していくものです。
さらに、年齢を重ねることによる変化も黄ばみの原因のひとつです。
歯科ホワイトニングは、専用の薬剤を使って歯の内側に沈着した色素を分解し、歯そのものを白くする処置です。
歯を削ったり、被せ物をしたりせずに行えるため、比較的手軽に自然な白さを取り戻すことができます。
「人前で自信を持って笑いたい」「清潔感のある口元にしたい」
そんな方は、ぜひ一度ご相談ください。
ご自身の歯を活かして、明るく健康的な笑顔をサポートいたします。
「ホワイトニング」と聞くと、エステサロンでのセルフホワイトニングを思い浮かべる方もいらっしゃるかもしれませんが、歯科医院で行うホワイトニングとはまったく別物です。
歯科医院で使用する過酸化水素や過酸化尿素といった薬剤は、歯の内部の黄ばみを分解・漂白する効果がある医薬品であり、国家資格を持つ歯科医師や歯科衛生士だけが使用できます。
そのため、これらの薬剤をエステサロンで使用することは法律で禁止されています。
では、セルフホワイトニングではどんな薬剤が使われているのでしょうか?
店舗によって異なりますが、一般的には重曹、ポリリン酸、メタリン酸、炭酸カルシウムなどが使用されており、これらは歯の表面に付着したステイン(着色汚れ)を除去するためのものです。
つまり、セルフホワイトニングでは歯そのものを白くすることはできず、表面の汚れを落とすことで「少し白く見える」だけということになります。
しばた歯科 可児おとなこども矯正歯科では、ライフスタイルやご希望に合わせて選べる3種類のホワイトニングメニューをご用意しています。
歯科医院で行うプロによるホワイトニングです。
高濃度の薬剤と専用の光照射機器を使うため、1回の施術で効果が実感しやすいのが特徴です。「短期間でしっかり白くしたい」という方にぴったりの方法です。
透明のマウスピース(トレー)を作製し、専用のジェルを入れてご自宅で装着する方法です。
ご自身のペースで進められるのが魅力で、じっくり自然に白くしたい方に向いています。
来院回数は最低3回(型取り・受け取り・経過観察)となります。
「自分のタイミングで続けたい」「ナチュラルに白くなりたい」方におすすめです。
オフィスホワイトニングとホームホワイトニングを併用する方法です。
即効性と持続力を兼ね備えており、より高い効果が期待できます。
また、歯の質や状態によって効果が出にくい方、白さのムラ(ホワイトスポット)に悩む方にも有効です。「本気で理想の白さを目指したい方」に最適な方法です。
神経を取ったあとに変色してしまった前歯専用の漂白方法です。歯の内部に薬剤を入れ、数回に分けて白くしていく治療で、通常のホワイトニングとは異なり「1本だけ白くする」様なケースに適しています。
ただし、1度の治療で理想の白さになるとは限りません。歯の状態や変色の程度によっては、複数回の処置が必要になる場合があります。
しばた歯科可児おとなこども矯正歯科ではご希望やお口の状態を拝見し、一人ひとりに最適なホワイトニングプランをご提案します。
「人前で自信を持って笑いたい」
「清潔感のある口元にしたい」
そんな方は、まずはお気軽にご相談ください。美しく輝く笑顔を一緒に目指しましょう。

© 2025 shibatadental.com